رنگ گیمسا

رنگ گیمسا و کاربردهای آن

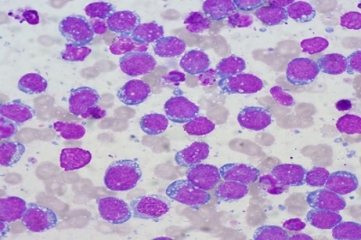
رنگ گیمسا (Giemsa stain) ، یک رنگ اسید نوکلئیک است که در سیتوژنتیک و برای تشخیص هیستوپاتولوژیک مالاریا و سایر انگل ها استفاده می شود .

رنگ گیمسا از نام شیمیدان و باکتری شناس آلمانی گوستاو گیمسا نامگذاری شده است.

رنگ گیمسا برای گروه‌های فسفات DNA خاص است و خود را به مناطقی از DNA می‌چسبد که در آن مقادیر زیادی پیوند آدنین-تامین وجود دارد.

 

کاربردهای رنگ گیمسا

رنگ آمیزی گیمسا در باندینگ گیمسا، که معمولاً Gbanding نامیده می شود، برای رنگ آمیزی کروموزوم ها استفاده می شود و اغلب برای ایجاد کاریوگرام (نقشه کروموزوم) استفاده می شود. می تواند ناهنجاری های کروموزومی مانند جابجایی ها و بازآرایی ها را شناسایی کند.

تروفوزوئیت تریکوموناس واژینالیس را رنگ می کند که با ترشحات سبز رنگ و سلول های متحرک در آماده سازی مرطوب ظاهر می شود.

لکه گیمسا نیز یک لکه دیفرانسیل است، مانند زمانی که با رنگ رایت ترکیب می شود و لکه رایت گیمسا را تشکیل می دهد. می توان از آن برای مطالعه چسبیدن باکتری های بیماری زا به سلول های انسانی استفاده کرد.

لکه گیمسا به طور متفاوتی سلول های انسانی و باکتریایی را به رنگ بنفش و صورتی رنگ می کند. می توان از آن برای تشخیص هیستوپاتولوژیک گونه های پلاسمودیوم که باعث مالاریا و برخی دیگر از انگل های خونی اسپیروکت و تک یاخته می شود استفاده کرد.

همچنین در رنگ آمیزی سلولی Wolbachia در مگس سرکه استفاده می شود.

محلول گیمسا مخلوطی از متیلن بلو، ائوزین و آزور بی است.

 لکه معمولاً از پودر گیمسا موجود در بازار تهیه می شود.یک لایه نازک از نمونه بر روی لام میکروسکوپ به مدت 30 ثانیه در متانول خالص با غوطه ور کردن آن یا با ریختن چند قطره متانول روی لام ثابت می شود.

 لام را در محلول لکه 5% گیمسا تازه تهیه شده به مدت 20-30 دقیقه در مواقع اضطراری غوطه ور می کنند.

ترکیبات رنگ گیمسا یا محلول گیمسا

محلول گیمسا ترکیبی از متیلن بلو، ائوزین و Azure B است.

 امروزه مخلوط آماده پودری گیمسا از بازار قابل تهیه است.

Giemsa stain

Giemsa stain named after German chemist and bacteriologist Gustav Giemsa, is a nucleic acid stain used in cytogenetics and for the histopathological diagnosis of malaria and other parasites.

It is specific for the phosphate groups of DNA and attaches itself to regions of DNA where there are high amounts of adenine-thymine bonding. Giemsa stain is used in Giemsa banding, commonly called Gbanding, to stain chromosomes and often used to create a karyogram (chromosome map). It can identify chromosomal aberrations such as translocations and rearrangements,

It stains the trophozoite Trichomonas vaginalis, which presents with greenish discharge and motile cells on wet prep .Giemsa stain is also a differential stain, such as when it is combined with Wright stain to form WrightGiemsa stain. It can be used to study the adherence of pathogenic bacteria to human cells. It differentially stains human and bacterial cells purple and pink respectively. It can be used for histopathological diagnosis of the Plasmodium species that cause malarial and some other spirochete and protozoan blood parasites. It is also used in Wolbachia cell stain in Drosophila melanogaster.

Giemsa's solution is a mixture of methylene blue, eosin, and Azure B. The stain is usually prepared from commercially available Giemsa powder.

A thin film of the specimen on a microscope slide is fixed in pure methanol for 30 seconds, by immersing it or by putting a few drops of methanol on the slide. The slide is immersed in a freshly prepared 5% Giemsa stain solution for 20-30 minutes in emergencies 5-10 minutes in 10% solution can be used), then flushed with tap water and left to dry

 

محلول گیمسا مرک کد 109204

نام ماده : Giemsa's azur eosin methylene blue solution

کد محصول مرک : 109204

Giemsa's azur eosin methylene blue solution

For microscopy. For the staining of blood and bone-marrow smears, paraffin sections and clinical-cytological specimens

catalog number:109204

درباره ما

شركت مينا تجهيز آريا با سالها تجربه و با استفاده ‏از تخصص،تعهد، تجربه و دانش هاي نوين اقدام به تهيه، توزيع مواد شیمیایی ( آزمایشگاهی ، صنعتی ) و تجهيز لوازم آزمايشگاهي، شيشه آلات و كليه ملزومات آزمايشگاهي از شركت هاي داخل و ‏خارج كشور نموده است.‏

برای پرسش و پاسخ و دریافت قیمت و موجودی با کلیک روی لینک زیر به تلگرام شرکت پیام دهید

 آدرس : تهران - میدان توحید- خیابان امیر لو(نبش کوچه خودرو) - پلاک 42- طبقه دوم - واحد5

ایمیل : minatajhiz_aria@yahoo.com

شماره ها تماس : 02166901187 - 02166900058

شماره های همراه :09362048289 - 09927282910

شماره های واتس آپ ، ایتا ، تلگرام و روبیکا : 09927282910