ائوزین وای

ائوزین وای و کاربردهای ائوزین وای

ائوزین وای Eosin Y یک ترکیب شیمیایی با فرمول شیمیایی C20H6Br4Na2O5 و شکل ظاهری پودر قرمز می باشد.

خصوصیات ائوزین وای

فرمول مولکولی : C20H6Br4Na2O۵

جرم مولی : ۶۹۱٫۸۵ g mol−1

شناسه :  ChemSpider: 10580

ظاهر: پودر قرمز

 

 

Eosin Y

Eosin Y, also called C.I. 45380 or C.I. Acid Red 87, is the form of eosin most commonly used in histology, most notably in the H&E stain. Eosin Y is also widely used in the Papanicolaou stain and the Romanowsky type cytologic stains. It is also used as a photosensitizer in organic synthesis. Wikipedia

Formula: C20H6Br4Na2O5

Molar mass: 691.86 g/mol

ChemSpider ID: 10580

Density: 1.018 g·cm−3

Melting point: 295.5 °C (563.9 °F; 568.6 K)

3D model (JSmol): Interactive image

PubChem CID: 11048

کاربردهای ائوزین وای

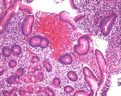
ائوزین وای اصولا به عنوان لکه استفاده می شود که از آن برای تعیین محل بخش های مغزی ، برای رنگ آمیزی بافت کبد ثابت و برای معاینه بافت شناسی بخش های مغزی از هیپوکامپ پشتی استفاده می شود.

همچنین ائوزین وای برای رنگ کردن سیتوپلاسم، کلاژن و فیبرهای ماهیچه ای جهت معاینه در زیر میکروسکوپ مورد استفاده قرار می گیرد.

Eosin Y همچنین به طور گسترده در رنگ آمیزی پاپانیکولائو و لکه های سیتولوژیک نوع Romanowsky استفاده می شود. همچنین به عنوان یک حساس کننده نور در سنتز آلی استفاده می شود.

 

ائوزین وای مرک کد 115935

نام ماده : Eosin Y

کد محصول مرک : 115935

cas number : 17372-87-1

فرمول شیمیایی : C₂₀H₆Br₄Na₂O₅

Synonyms: 2,4,5,7-Tetrabromofluorescein disodium salt , Disodium 2-(2,4,5,7-tetrabromo-6-oxido-3-oxoxanthen-9-yl)benzoate, Eosin 225 , Eosin Y disodium salt , Eosin yellowish , Fields Stain B , Solvent Red 43 , Tetrabromofluorescein disodium salt

Formula: C₂₀H₆Br₄Na₂O₅

MW: 691,86 g/mol

Melting Pt: 295…296 °C

Storage Temperature: Ambient             MDL Number: MFCD00005040

CAS Number: 17372-87-1

EINECS: 241-409-6

UN: 0000

 

{ampz:جدید}

درباره ما

شركت مينا تجهيز آريا با سالها تجربه و با استفاده ‏از تخصص،تعهد، تجربه و دانش هاي نوين اقدام به تهيه، توزيع مواد شیمیایی ( آزمایشگاهی ، صنعتی ) و تجهيز لوازم آزمايشگاهي، شيشه آلات و كليه ملزومات آزمايشگاهي از شركت هاي داخل و ‏خارج كشور نموده است.‏

برای پرسش و پاسخ و دریافت قیمت و موجودی با کلیک روی لینک زیر به تلگرام شرکت پیام دهید

 آدرس : تهران - میدان توحید- خیابان امیر لو(نبش کوچه خودرو) - پلاک 42- طبقه دوم - واحد5

ایمیل : minatajhiz_aria@yahoo.com

شماره ها تماس : 02166901187 - 02166900058

شماره های همراه :09362048289 - 09927282910

شماره های واتس آپ ، ایتا ، تلگرام و روبیکا : 09927282910